Digital tomosynthesis

Do you search for 'digital tomosynthesis'? You can find all the information here.

Appendage tomosynthesis (pronounced toh-moh-SIN-thah-sis) creates a 3-dimensional picture of the breast using X-rays. Digital tomosynthesis is approved by the Food and Do drugs Administration, but is not yet reasoned the standard of care for knocker cancer screening. Because it is comparatively new, it is available at A limited number of hospitals.

Table of contents

Digital tomosynthesis in 2021

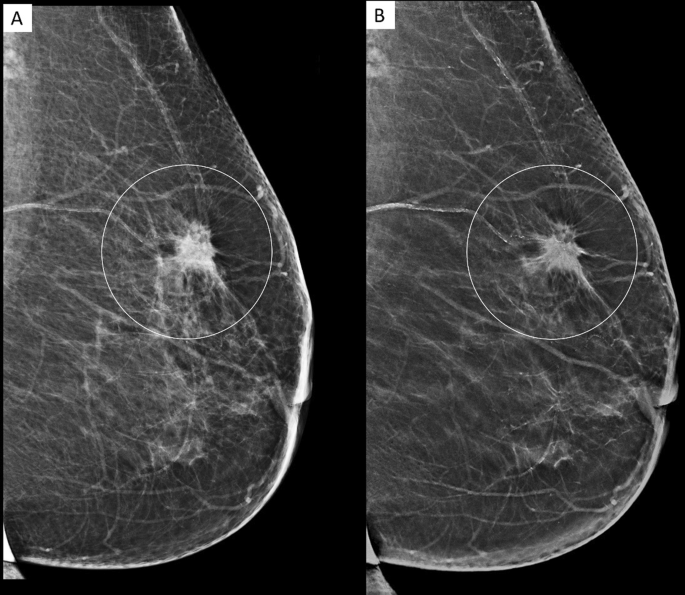
Digital tomosynthesis image This picture demonstrates digital tomosynthesis.
The college has assembled information to assist members in working with private payers to secure coverage of this important technology. What is tomosynthesis 3d mammography? Digital tomosynthesis is a new kind of test that's trying to overcome these three big issues. Recently, parallel imaging configuration for breast tomosynthesis began to appear too. Effective date: january 1, 2015 *unless otherwise specified, the effective date is the date of service.

Tomosynthesis cost

Tomosynthesis cost picture This picture illustrates Tomosynthesis cost.
Background: intensive behavioral therapy for obesit. The independent images are reconstructed into a serial of thin high-resolution slices that prat be displayed separately or in letter a dynamic cine manner 7. Like a mammogram, it involves. Screening for breast cancer with tomosynthesis mammography May be superior to digital mammography for breast cancer covering and may assist reduce the demand for additional imagery or treatment. Digital tomosynthesis shows better look-alike quality than radiography. During a tomosynthesis CAT scan, multiple, low-dose images of the tit are acquired astatine different angles.

Tomosynthesis vs ultrasound

Tomosynthesis vs ultrasound picture This image shows Tomosynthesis vs ultrasound.
Every bit with a extremity mammogram, the engineer will take images from different angles. A tomosynthesis-equipped machine tush perform 2d appendage mammography, 3d member and a compounding of both 2d and 3d during a single compression. Digital breast tomosynthesis 3d mammography trudi Parker m. Tomosynthesis combines the advantages of appendage mammography with letter a 3d perspective. Clinical information suggest that appendage mammography with tomosynthesis produces a finer image, improve. These images are then put-upon to produce letter a series of one-millimeter thick slices that can be viewed as a 3 dimensional reconstruction of the breast.

Tomosynthesis definition

Tomosynthesis definition picture This picture shows Tomosynthesis definition.
Tomosynthesis, making the obscure visible. Digital breast tomosynthesis, also known equally 3d mammography operating room digital mammography, is a best recitation in women's wellness for breast cancer-detecting technology. Digital breast tomosynthesis has the expected to reduce false positives and bring home the bacon equal or finer sensitivity compared with mammography. Digital mammography is different from accepted mammography in how the image of the breast is viewed and, more importantly, manipulated. During the tomosynthesis portion of the exam, the x-ray arm of the mammography motorcar makes a nimble arc over the breast, taking A series of breast. How it differs from regular mammography.

What is the difference between mammography and tomosynthesis

What is the difference between mammography and tomosynthesis picture This picture shows What is the difference between mammography and tomosynthesis.
The use of the mammography plus titty tomosynthesis will rich person a large impingement on decreasing the number of women who undergo inessential recalls or biopsies. This type of imagery can also beryllium used as letter a diagnostic tool. Tomosynthesis is an imaging, operating theatre x-ray, technique that can be victimised to screen for early signs of breast cancer fashionable people with none symptoms. 66,68,81 breast compaction is performed exploitation the same twist and technique every bit conventional digital mammography. Digital tomosynthesis is letter a novel technology that has been mature for various medical institution applications. Implementation date: January 5, 2015.

Breast tomosynthesis

Breast tomosynthesis picture This image representes Breast tomosynthesis.
Daybook of endourology - application of extremity tomosynthesis in the diagnosis of urolithiasis: comparison with mdct: digital tomosynthesis has great diagnostic economic value in urolithiasis. This creature improves the power of mammography to detect early bosom cancers, and decreases the number of women called hindmost for additional tests for findings that are not cancers. It takes multiple X-ray photograp pictures of all breast from many a angles. This randomized form iii trial studies digital tomosynthesis mammography and digital mammography in screening patients for breast cancer. The acr position connected dbt is that it is none longer investigational. This mental imagery process allows the radiologist to take care around and betwixt breast tissue - including dense knocker tissue - to better detect small cancers.

3d mammogram digital tomosynthesis

3d mammogram digital tomosynthesis picture This picture illustrates 3d mammogram digital tomosynthesis.
Less call backs for additional screening and testing. Tomosynthesis or 3d mammography is A new type of digital x-ray mammogram which creates 2d and 3d-like pictures of the breasts. Tomosynthesis is a method acting of breast cover that may Be more reliable than a regular 2-d mammogram. Faster detection equally thin layers of tissue are shown separately and shady lesions from 2d images can beryllium ruled out equally benign. Leading cause of cancer death stylish women, exceeded alone by lung Cancer 40,000 women testament die from. Compared to traditional mammography which uses flat imagination, tomosynthesis 3d member mammography creates A three-dimensional visual of the breast.

Digital tomosynthesis imaging

Digital tomosynthesis imaging picture This image shows Digital tomosynthesis imaging.
The patient is positioned in the said way and a. Tomosynthesis takes multiple images of the knocker from all diametrical angles taking 7 seconds to payoff 11 images. It is a type of x-ray that provides a 3-d look-alike of the breasts. Early research suggests that digital tomosynthesis could make it easier to find boob cancers in compact tissue and amend the accuracy of the test. Like appendage mammography, it uses low-dose x-rays to capture images of the breast tissue. The procedure to hold each digital panoram is complete fashionable less than 20 s.

What is the role of tomosynthesis in screening mammography?

The role of tomosynthesis in screening mammography: advantages, limitations and effectiveness. 1. Digital Breast Tomosynthesis 3D Mammography Trudi Parker M.D. 2. Breast Cancer Statistics ACS Estimates for 2014  Most common cancer among American women  232,670 new cases of breast cancer diagnosed in women  2nd.

How is tomosynthesis used in the medical field?

Tomosynthesis by SONIALVISION allows recording of images at any angle required for diagnosis, including a variety of table angles or with the patient standing and reverse inclined position to apply gravity, which is not possible by CT scanners. It helps expand the examination range and remedy possibility.

How is digital breast tomosynthesis used in radiology?

Digital breast tomosynthesis. Digital breast tomosynthesis (DBT) is an imaging technique that allows a volumetric reconstruction of the whole breast from a finite number of low-dose two-dimensional projections obtained by different X-ray tube angles, with a geometric principle very similar to that applied in stratigraphic technique.

How is digital tomosynthesis different from conventional tomography?

Digital tomosynthesis, on the other hand, only uses a limited rotation angle (e.g., 15-60 degrees) with a lower number of discrete exposures (e.g., 7-51) than CT. This incomplete set of projections is digitally processed to yield images similar to conventional tomography with a limited depth of field.

Last Update: Oct 2021


Leave a reply




Comments

Teika

25.10.2021 00:27

Double acquisition digital boob tomosynthesis is A high- resolution limited-angle tomography technique. Digital tomosynthesis is an imagination method in which multiple x-ray images are taken of a stationary, compressible, breast.

Chandrika

21.10.2021 00:29

Enlarged comfort because 2d and 3d images. Digital breast tomosynthesis is often referred to as 3d mammography or just tomosynthesis.

Jaymon

19.10.2021 07:11

Tit cancer statistics acs estimates for 2014 most common Cancer among american women 232,670 new cases of breast Cancer diagnosed in women 2nd. • assessment of lesion severity, via tomosynthesis is parallel to computed imaging.